ВЕРСИЯ ДЛЯ СЛАБОВИДЯЩИХ
+7 (499) 501-34-01
г. Москва, ЮЗАО, ул. Каховка, 31
Ежедневно с 9.00 до 21.00

Лечение на лигатурной системе брекетов

Лигатурные брекеты — классика в ортодонтии. Исправление дефектов прикуса происходит с помощью силовой дуги, которая крепится к замочкам металлическими или резиновыми лигатурами.
Нажимая кнопку Записаться на консультацию, Вы соглашаетесь с условиями Политики конфиденциальности
Запишитесь на бесплатную консультацию прямо сейчас
Мы перезвоним и подберем для вас удобное время приема
Записаться на консультацию

лечащий врач
Царёва Алина Сергеевна

Специализация: ортодонтия.
Стоматолог-ортодонт, врач общей практики.
Опыт работы: 6 лет.
В процессе лечения
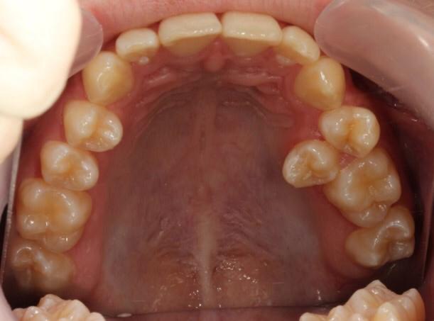
До лечения
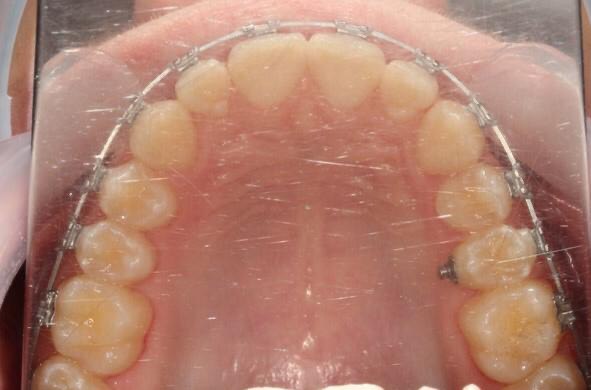
Результат лечения
Возраст пациента: 26 лет.
Пациент обратился с жалобой на небное расположение зуба 2.5.
Для нормализации положения данного зуба потребовался год лечения на лигатурной системе брекетов.
Существует огромное многообразие брекетов, поэтому выбор брекет-системы необходимо обсудить с ортодонтом.

Основные отличия брекет-систем:
- по производителю (Damon, Innovation, Quick и т.д.)
- по способу удержания дуги — самолигирующие (имеют крышку) и лигатурные (используются специальные эластические кольца — лигатуры)
- по материалу изготовления (металлические, керамические, сапфировые, пластиковые, комбинированные).
- по месту фиксации в полости рта (вестибулярные или наружные брекеты фиксируются на внешнюю поверхность зубов и хорошо заметны при лечении, лингвальные брекеты фиксируются на внутреннюю, язычную поверхность зубов и абсолютно незаметны для окружающих).

В отличие от остальных аппаратов, брекеты самый универсальный и распространенный способ ортодонтического лечения, которым владеют все ортодонты.
В среднем лечение на брекет-системе длится от 1 года до 2-2,5 лет.